Genetika zapravo igra veliku ulogu u zdravlju naših zuba i desni. Neki ljudi jednostavno imaju „sreće“ – zubi su im otporni, desni jake, a karijes im je gotovo nepoznat. Kada pričamo o osmehu koji “nasledimo” od roditelja, ne mislimo samo na oblik zuba ili način na koji se krivimo kad se nasmejemo. Ali nije uvek …
Genetika zapravo igra veliku ulogu u zdravlju naših zuba i desni. Neki ljudi jednostavno imaju „sreće“ – zubi su im otporni, desni jake, a karijes im je gotovo nepoznat.
Kada pričamo o osmehu koji “nasledimo” od roditelja, ne mislimo samo na oblik zuba ili način na koji se krivimo kad se nasmejemo.
Ali nije uvek stvar samo u navikama. Ako ti zubi propadaju i pored redovnog pranja, moguće je da tvoji geni imaju udela. To ne znači da treba da digneš ruke. Baš suprotno. To znači da treba da znaš šta tebi konkretno odgovara – i da o svom zdravlju brineš proaktivno.
Genetika i nasledne slabosti – da li je sve zapisano u genima?
Geni koje nasledimo od roditelja mogu uticati na čvrstinu gleđi, sastav pljuvačke i način na koji se razvijaju vilice i zubi. Na primer, ako ti je gleđ tanja, veća je šansa da ćeš lakše razviti karijes.
Takođe, ako u porodici postoji istorija parodontopatije, trebaš biti posebno oprezan. To ne znači da ćeš je sigurno imati – već da imaš predispoziciju. Ako to znaš na vreme, možeš mnogo da uradiš da je sprečiš.
Genetika pljuvačke
Možda ti pljuvačka ne deluje kao važna stvar, ali zapravo je ona prva linija odbrane tvojih zuba. Njena količina, sastav i pH vrednost zavise i od genetike.
Neki ljudi imaju prirodno više minerala u pljuvački, pa njihova zubna gleđ ima dodatnu zaštitu. Kod drugih je pljuvačka kiselija, pa podstiče propadanje gleđi.
Ako primetiš da ti se brzo stvaraju naslage, ili da imaš osećaj “suvih usta”, to može biti signal da nešto nije u ravnoteži.
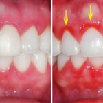
Parodontoza u porodici – slučajnost ili nasledstvo?
Jedna pacijentkinja mi je pre par godina rekla: “Svi u mojoj porodici su izgubili zube do pedesete. Valjda to mene čeka.” Nisam joj odmah odgovorila. Samo sam joj zakazala detaljan pregled.
Ispostavilo se da je već imala prve znake parodontopatije, iako nije osećala ništa. U tom trenutku smo započele intenzivnu negu i pratnju. Danas su joj desni zdrave, a svi zubi na broju.
Dakle – genetika jeste faktor, ali nije sudbina.
Oblik vilice i raspored zuba
Nepravilno postavljeni zubi često nisu posledica loših navika, već genetike. Ako su ti vilice uske, zubi se guraju, rotiraju i teže ih je održavati čistim.
Ovakva situacija povećava rizik od karijesa, upala desni i oštećenja zubne gleđi. I zato je ortodontska terapija često više od estetike – ona je prevencija ozbiljnih problema.
Ako primetiš da zubi deteta rastu ukrivo, ne čekaj da “samo poraste”. Ranije reagovanje daje najbolje rezultate.
Boja zuba i genetika
Nijansa tvojih zuba nije samo pitanje kafe, vina ili cigareta. Prirodna boja zuba zavisi od debljine gleđi i boje dentina ispod nje – a to je genetski određeno.
Neki ljudi prirodno imaju žućkastiju nijansu zuba, iako su potpuno zdravi. Nema potrebe za sramotom ili opsesivnim beljenjem. Svako ima svoj ton, i to je potpuno normalno.
Uvek se može poraditi na sjaju i čistoći, ali zdravi zubi ne moraju biti sneg-beli.
Kliknite ovde i pročitajte na našem blogu da li je izbeljivanje zuba štetno i šta je sve važno da znate pre nego što se odlučite na ovaj tretman. A ako želite da vidite kako to mi radimo u ordinaciji, pogledajte video na ovom linku.
Osetljivost zuba i geni
Ako osetiš bol pri svakom gutljaju hladnog pića – nisi jedina. Zubna osetljivost je često povezana sa genetikom.
Tanja gleđ, povučene desni ili prirodno širi dentinski kanali – sve to možeš naslediti. Dobra vest je da postoje tretmani i paste koje pomažu.
Važno je da mi kažeš šta osećaš. Nemoj da trpiš ili da se navikavaš. Svaki simptom ima razlog – i rešenje.
Genetski faktori i karijes
Nije svako podjednako podložan karijesu. Neko može pojesti punu čokoladu i da mu zubi ostanu netaknuti, dok se drugom karijes pojavi i uz sav trud.
Zato ne gledaj druge – slušaj svoje telo. Ako znaš da si “slabija karika” u porodici, prilagodi rutinu – češće kontrole, jača higijena, ishrana sa manje šećera.
Genetika može biti izazov, ali znanje je tvoj saveznik.
Uticaj hormona i pol
Hormoni igraju značajnu ulogu u zdravlju desni, naročito kod žena. U trudnoći, pubertetu ili menopauzi, desni postaju osetljivije i sklonije upalama.
Ako u tvojoj porodici žene često imaju problema sa desnima, velika je verovatnoća da i ti imaš sličnu predispoziciju. To ne znači da treba da se plašiš – već da budeš pažljivija.
Jednostavne stvari – kao što je upotreba konca, ispiranje antiseptičkim rastvorima i redovni pregledi – mogu napraviti ogromnu razliku.
Da li se strah od zubara prenosi genima?
Zanimljivo pitanje, zar ne? Strah se ne prenosi genetski, ali se prenosi kroz ponašanje. Ako si kao dete gledala mamu kako odlaže zubara i priča da je to “strašno”, lako ćeš i sama razviti sličan otpor.
U praksi sam primetila da deca roditelja koji bez straha dolaze kod nas, obično nemaju problem da otvore usta. I obrnuto.
Zato nije dovoljno da vodiš dete zubaru – važno je da i ti pokažeš da je to sasvim normalna stvar.
Preventiva ima veću moć od genetike
Možda ti tvoji geni nisu dali “najzdravije zube”, ali to ne znači da si bespomoćna. Redovno pranje, konac, kontrola i profesionalno čišćenje – to su tvoji saveznici.
Uvek ponavljam – bolje je sprečiti nego popravljati. I bolje je na vreme otkriti slabosti, nego gasiti požar kad već zaboli.
Zato ne čekaj simptome. Redovni pregledi nisu luksuz, već osiguranje zdravlja.
Iskustvo iz ordinacije – kad genetika prevari
Pre par meseci mi je došao pacijent koji se hvalio da mu nikad nije trebao zubar. Roditelji nikad nisu imali karijes, zube su im vadili samo zbog godina.
Nažalost, njegov životni stil – cigarete, neredovna higijena i obilje gaziranih pića – nadjačao je genetiku. Imao je ozbilne probleme sa desnima.
To je bio važan podsetnik: genetika može pomoći, ali ne radi posao umesto nas.
Važnost otvorenog razgovora sa stomatologom
Ne stidi se da postaviš pitanje, da kažeš da te strah, da priznaš da ne znaš. Ja sam tu da objasnim, ne da sudim.
Ponekad pacijenti kažu: “Nisam znao da ovo postoji”, ili “Mislila sam da su mi zubi jednostavno takvi”.
Zato volim da sednemo, da porazgovaramo. Tvoje navike, istorija bolesti, i – da, geni – sve je to važno da bih ti pomogla na pravi način.
Zaključak
Genetika sigurno ima uticaja na zdravlje zuba – ali to nije razlog za pasivnost. Kada znaš svoje predispozicije, imaš priliku da unapred zaštitiš ono što ti je dato.
Redovne posete stomatologu, pravilna higijena i informisanost mogu značajno smanjiti rizik od naslednih problema.
U stomatološkoj ordinaciji Dentib, posvećeni smo celovitom pristupu zdravlju zuba. Naš tim stručnjaka kombinuje savremenu dijagnostiku sa iskustvom i pažnjom prema svakom pacijentu.
Posebno vodimo računa o onima koji imaju genetske predispozicije za određene probleme – bilo da je reč o parodontozi, karijesu, nepravilnim vilicama ili slabijoj gleđi.
Kod nas nikada nisi samo još jedan slučaj – već osoba sa svojim jedinstvenim osmehom, navikama i istorijom. Tu smo da zajedno sa tobom pronađemo najbolje rešenje – dugoročno i sa osmehom.






